循環器科
心臓の病気は、犬にも猫にも多く見られ、三大死因のひとつに数えられています。
心臓の病気には加齢に伴うものと遺伝など先天性の要因によるものがありますが、 その多くは内科的療法のみで完治することはなく、 徐々に進行していくことが避けられません(*)
心臓は全身に血液を循環させるポンプの役割を果たしている臓器ですので、 心臓の病気は心臓と血管を扱う循環器科の診療となります。
*初期であれば療法食などの内科的療法で進行を遅らせることが可能なケースもあります。
心臓の断面図と血液の流れ
症状
循環器の病気は、初期症状がほとんどないため気づきにくく、目に見える変化が現れる頃には既に中期に突入していることが少なくありません。
ふだん元気な子でも年に一度(7才以上は半年に一度)は必ず健診を受けてあげてください。また、下記のサインが見られたら、次の健診を待つことなく、ただちに受診してください。
  • 散歩をあまり喜ばなくなった
  • 散歩の途中で息切れしている
  • 横になっている時間が増えた
  • よく水を飲むようになった
  • お腹まわりが膨らんできた
  • 運動していない時でも息が荒い
  • ヘンな咳をするようになった
  • 舌の色が何となく変色してきた
  • 時々吐きそうな様子を見せる
  • ふらついたり失神したりする
診察の流れ
問診・身体検査
聴診することで心臓の雑音が聴取されます。雑音が聴取される場所や音の違いも診断には重要です。
心臓の雑音は程度により6段階に分けられます。
雑音は大きくなるとさわると分かるような振動(スリル)を伴う事があります。
検 査
血液検査
心臓は全身に血液を送る重要な役割をしているため、心臓が悪くなると他の臓器にも大きな負担がかかることがあります。特に心臓と腎臓は密接な関係にあるため、腎機能を含めた内臓機能の検査を推奨しています。
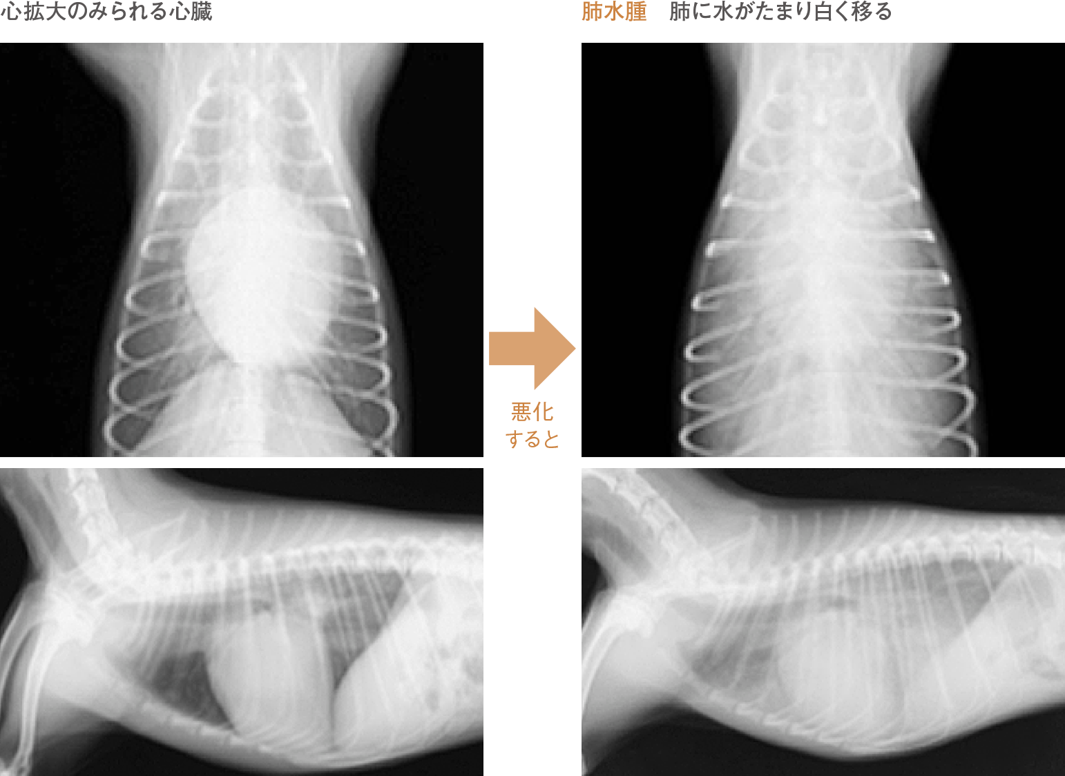
X線検査
負担のかかった心臓は徐々に肥大していきます。また、さらに心機能が悪化すると血液は全身をうまく循環できなくなり、肺に水がたまる(肺水腫)、胸や腹部に水がたまる(胸水、腹水)ことがあります。これらを確認するのにX線検査が有用です。
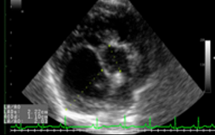
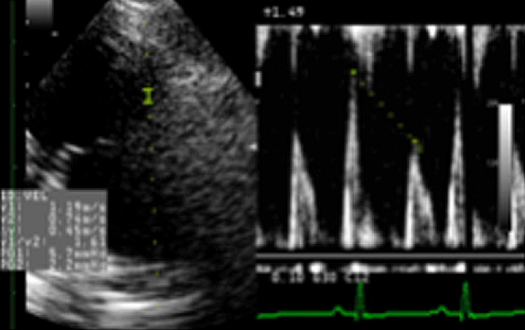
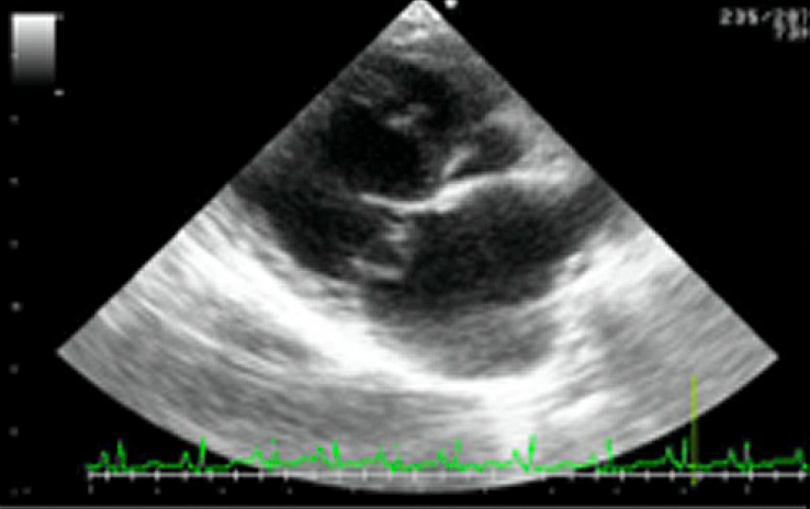
超音波検査
心臓の超音波検査をすることで、心臓の弁の動きや心臓の各部屋の大きさ、筋肉の厚さなど心臓の内部まで詳細に把握する事が可能です。また、心臓内を流れる血液の早さを測る事で、心臓の機能の厳密なモニターが可能です。心臓の何処がどのように大きくなっているのか、血液の流れはどうなのか、はっきりと把握することが、適した治療につながります。
右側傍胸骨四腔断面
心臓の4つの部屋を描出します。
それぞれの大きさや筋肉の評価をします。
LA/AO
左心房と大動脈の大きさの比較。
心臓の拡大の程度を探ります。
カラードプラ
血液の流れる向きを色で示し、逆流やジェットを明らかにします。
流速の計測
弁を流れる血液の早さを測り、血流の異常を探ります。
血圧測定
心臓に疾患のある場合、血圧が上昇する場合も降下することもあります。高血圧はさらに心臓に負担をかけ、心不全を悪化させる事があります。その他にも腎臓や眼といった色々な組織に負担をかけてしまいます。その程度を把握する事でより適した治療を行うことが可能となります。また、治療効果の判定のためにも定期的な血圧測定を推奨しています。
心電図
心臓は通常一定のリズムで拍動していますが、これは電気的な刺激によって調節されています。この刺激の伝導に異常が生じると、いわゆる不整脈が発生します。不整脈は聴診や以上のような検査だけでは分からないものもあり、失神など重篤な症状を急に起こすことがあります。このため、不整脈の種類を正確に判断し、適した治療を選択するため、以上のような検査と組み合わせて心電図を計測する事を推奨しています。
重症度の評価
このような検査を組み合わせて行うことで現在の心臓の機能をしっかりと把握することが可能です。
例えば僧帽弁閉鎖不全症(MR)という病気は、病状の程度により5つの段階に分類されます。
下記の段階に合わせて適した治療を行っていきます。
治 療
内科的治療法と外科的治療法を診断に基づいて選択します。初期の場合には療法食のみでの管理が可能です。病状が進行すると、より積極的な治療が必要となってきます。
内科的療法
内科的療法は心臓の負担を軽減するため、血圧を下げたり、心拍数や拍出量を調整する事が主な目的です。状態の維持や改善のため生涯内服薬の投与が必要となることがあります。そのままでは命に関わるような病態でも症状の改善を可能にします。
外科的治療法
外科的治療法は主に先天的な疾患が対象となります。
各疾患毎に手術方法は異なり、専門的な施設や技術が必要となるため、適応となる場合には随時御紹介致します。
ま と め
心臓が原因で起こる症状は様々です。また、初期には、はっきりした症状を示さない事が多いため、かなり進行してから気づくことにもなりかねません。
早期の診断と治療がおうちの子の生活の質の向上や長生きにつながることがあります。
ペットの様子が気になったらまずはお気軽にご相談ください。
代表的な循環器の疾患
僧帽弁閉鎖不全症(MR:Mitral Regurgitation)
僧帽弁閉鎖不全症は心臓の血流を調整する僧帽弁という弁の機能が低下し、 本来一方通行である血液の流れに逆流がおきる病気です。中年齢以降の犬に多くみられます。症状としては発咳や運動性の低下、進行すると呼吸困難やチアノーゼがみられます。
さらに重症化すると肺水腫といって肺に水がたまり命に関わる事もあります。
聴診では心雑音が聴取され、雑音は程度により6段階に分類されます。また、心音の聞こえ方により胸水や心嚢水の存在を疑う事や、肺音の異常から肺水腫を疑う事も可能です。この他、呼吸様式や回数、舌などの粘膜の色は重要な情報となります。この病気が疑われた場合、胸部X 線検査や超音波検査、さらに心電図検査や血圧の測定を行い、上記のACVIM分類に則って評価します。
治療は検査によって把握した分類に応じて行います。初期の場合には低ナトリウムを主とした食事療法での管理が可能ですが、ステージが進行すると様々な内服薬が必要となります。心臓の状況は刻一刻と変化するため、定期的なチェックと状況に合わせた内服薬の調整が必要です。それぞれの症例で病態は全く異なるため、まずは当院獣医師にご相談下さい。
三尖弁閉鎖不全症(TR:Tricuspid Regurgitation)
右心房と右心室の間に存在し、血液を一定方向に流すための逆流防止弁を三尖弁といいます。この弁の閉鎖が不完全になり、血液が右心室から右心房へ逆流する状態を三尖弁閉鎖不全症と呼び、全身循環のうっ滞から腹水貯留などの症状を発現します。
肥大型心筋症(HCM:Hypertrophic Cardiomyopathy)
犬より猫での発生が多い心臓の病気です。心臓の筋肉が肥大し、循環不全を起こす病気です。症状としては、発咳、運動不耐性、または開口呼吸などがみられます。また、負担がかかって拡張した左心房内に血栓が生じ、これが全身に流れ出て様々な血管を詰まらせる「血栓塞栓症」という緊急疾患を起こすリスクを伴います。血栓が心臓、脳、腎臓など様々な臓器につまって臓器の機能を急激に損なわせる事もあれば、後肢の血管につまって急に後ろ足が立たなくなる事もあります。猫種の中でもメインクーンやアメリカンショートヘアでの発生が多くみられるため注意が必要です。この病気は初期には非常に気づき難いため、メインクーンやアメリカンショートヘアの子では特に健康診断など定期的な検査を行う事をお勧めしています。
疾患が疑われる場合にはX線検査や超音波検査を行います。胸部X線検査では心臓の形や大きさの変化、超音波検査では筋肉の厚さや内腔の広さなどを評価します。
治療には内服薬が必要です。肥大型心筋症は放置するとどんどん進行して命に関わる病気です。定期的な検査による総合的な評価によりその病態を正確に把握し、状況に応じた内服薬の調整を行うことで症状の無い期間を長くすることが可能であり、血栓塞栓症など命に関わる事態を起こすリスクを軽減する事が可能です。それぞれの症例で病態は全く異なるため、まずは当院獣医師にご相談下さい。
拡張型心筋症(DCM:Dilated Cardiomyopathy)
イヌで多い心筋症のタイプで心筋が正常に働かなくなる事で心臓が肥大し、心室内腔が拡張します。そのため血液が全身に行き渡りづらくなります。 ゴールデン・レトリーバー、アメリカン・コッカー・スパニエル、ダルメシアン、グレート・デーン、ドーベルマン・ピンシャー、ボクサーなどの大型犬によく見られます。また加齢に伴って発症しやすくなります。初期段階では無症状のまま経過している事がほとんどです。進行すると時折の失神や、肺水腫を生じる事での咳や呼吸困難などが見られます。不整脈を起こす事もあり、ふらつき、意識喪失や元気消沈などといった症状が見られ、突然死を起こす事もあります。
心奇形(先天性心疾患)
心奇形とは先天的な心臓の形態異常の事をさします。
代表的なものに、
・動脈管開存症 ・心房中隔欠損症 ・心室中隔欠損症 ・大動脈狭窄症 ・肺動脈狭窄症
などがあげられます。
また、心室中隔欠損、肺動脈狭窄、大動脈の右方偏位および右室肥大を同時に呈するものをファロー四徴症といいます。いずれの疾患も奇形の程度によりその症状は大きく異なります。
そのため、若齢時に発見されることもありますが、特に症状を呈さず成長してから偶然発見される事もあります。
奇形が存在すると聴診で雑音が聴取されることも多いため、一般的な身体検査から病気が疑われることがあります。その上でX線検査や超音波検査を行って診断します。超音波検査時にカラードプラを用いて異常な血液の流れを描出することが可能です。
いずれの疾患も気付かないうちに進行してしまい、命に関わる事があるため、若齢時より病院を受診することをお勧めしています。 病態によっては無治療で生涯をまっとうできる事もありますが、治療が必要な場合には手術による整復が必要です。心臓の手術には専門的な知識や技術が必要であるため、必要に応じてそうした手術が可能な専門診療施設を御紹介させて頂きます。
動脈管開存症(PDA:Patent Ductus Arteriosus)
胎生期に大動脈と肺動脈の間に位置していた動脈管が生後も閉鎖せずに残ることで、血液の流れに異常をきたし、程度により様々な異常が発現します。
心房中隔欠損症(ASD:Atrial Septal Defect)
左心房と右心房を隔てている心房中隔の一部が欠損して孔が残り、その欠損孔を介して血液が流入することにより様々な異常が発現します。
心室中隔欠損症(VSD:Ventricular Septal Defect)
左心室と右心室を隔てている心室中隔の一部が欠損して孔が残り、その欠損孔を介して血液が流入することにより様々な異常が発現します。
大動脈狭窄症(AS:Aortic Stenosis)
大動脈弁周囲が狭窄することで血液の流れに異常が生じ、左心室肥大や狭窄後部拡張を生じるため、次第に心機能が低下し左心不全に陥ります。その結果、運動が出来なくなったり、咳が出たり、突然死を招く場合がみられます。
肺動脈狭窄症(PS:Pulmonic Stenosis)
肺動脈弁周囲が狭窄することで血液の流れに異常が生じ、右心室肥大や狭窄後部拡張を生じるため、右心室に血液がうっ滞し右心不全に陥ります。その結果、腹水や皮下浮腫などが生じます。
ファロー四徴症(TOF:Tetralogy Of Fallot)
肺動脈狭窄、心室中隔欠損、右心室肥大、大動脈騎乗という4種の複合奇形で、心臓内の血液循環が複雑化し、程度により様々な症状が発現します。
病気のはなし