呼吸器科
空気の通り道となる気道(鼻~咽頭~喉頭~気管~気管支)、空気の出入りによってガス交換(酸素⇔二酸化炭素)をおこなう肺、これらを総称して呼吸器と呼びます。
呼吸器の病気は、鼻炎や短頭種気道症候群から気管虚脱、猫喘息、肺炎、肺水腫等に至るまで多岐にわたります。
症状
呼吸器の病気は、呼吸の際の様子や音の異常が初期症状のサインとなります。
パグやブルドッグのような短頭種の子は、骨格の構造上、気道が狭いため、健康な状態でも呼吸時に音が出ることがありますが、鼻や喉から雑音が聞こえる場合は病気の場合もあります。
下記のサインが見られたら、受診することをおすすめします。
  • 口を開けハアハアと苦しそうに呼吸する
  • いびきがひどい
  • 鳴き声が枯れてきた
  • 息するたびにゼーゼー、ヒーヒー、音が出る
  • ガーガーとガチョウの鳴き声のような咳をする
  • 散歩など運動をいやがる、じっとしていようとする
  • くしゃみ、鼻水、咳、運動後は特に悪化する
  • えづいて吐きそうな時がある
  • 元気がない、疲れやすい
診察の流れ
問診・身体検査
どのような状況のときに呼吸器症状が出るのか、症状の出やすい時間帯や季節性はあるのかなどを問診で確認していきます。身体検査では、呼吸器だけでなく全身を確認していきます。呼吸器に関しては、気管の触診、呼吸音の聴診などを行います。
検 査
血液検査
呼吸器症状を起こしている基礎疾患を見つけ出すのに役立ちます。また、CRP(炎症マーカー)を測定することによって炎症の存在を早期発見することができます。
血液ガス検査
血液のpH、酸素の濃度、二酸化炭素の濃度などを測定することで、肺の機能を客観的に評価することができます。例えば、呼吸困難になると酸素が取り込めず反対に、二酸化炭素が排出できずに溜まっていきます。そのため、血中の酸素濃度は低下し、二酸化炭素濃度は上昇します。血液ガスの測定は、治療方針の決定や治療効果の判定に役立ちます。
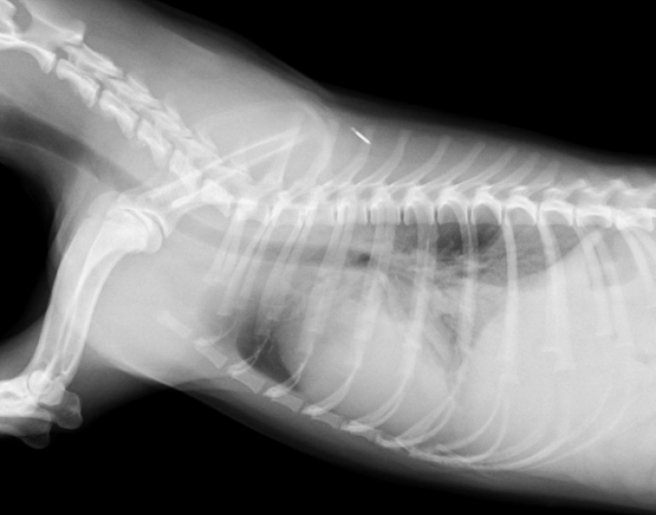
画像検査
レントゲン検査によって肺や気管の状態を確認することができます。肺野の病変の画像パターンを分類し、どのような疾患が疑わしいのか診断することができます。また、吸気時と呼気時のレントゲン写真を撮ることによって、気管虚脱の有無を診断することができます。当院では、単純なレントゲン撮影では判断の難しい気管虚脱に対しても透視下のレントゲン撮影が可能であり、動的に気管虚脱を診断することができます。超音波検査は、胸水や腫瘤の診断に役立ちます。また、呼吸器症状の原因となりうる心臓疾患の存在を診断することができます。
治 療
内科治療
症状に応じて抗生剤、気管支拡張剤、去痰剤、消炎剤などを経口投与します。
酸素吸入療法
低酸素状態で緊急性の高い状況においては、ICU(高濃度酸素集中治療室)で集中治療をおこないます。
噴霧吸入療法
鼻腔や咽頭など主に上気道の痛みや腫れ、炎症を緩和する治療に際してはネブライザー(吸入器)を用います。
ネプライザー
代表的な呼吸器の疾患
気管虚脱
トイ犬種、小型犬、および肥満犬に多い病気です。「ガーガー」というガチョウの鳴き声の様な咳をするのが特徴です。正常な気管は軟骨によって支えられていますが、気管虚脱では軟骨の変性に伴い気管が潰れるため、呼吸困難になってしまいます。気管の潰れ方が大きいほど症状も重篤になります。気管虚脱は進行していくため、症状が軽いうちに診断し軟骨の保護を行うことや、体重を適正に管理することで進行を抑えることができると考えられています。
肺炎
肺炎では、呼吸促迫、発熱、元気・食欲の低下などの症状がみられます。肺炎を引き起こしている原因によってウイルス性、細菌性、誤嚥性、好酸球性などに分類されます。必要に応じ、酸素室での酸素療法、輸液による脱水の予防や栄養投与、抗菌薬による細菌感染の予防、ステロイド剤による炎症抑制などを行います。
猫喘息
人の喘息と似た疾患が猫でも知られており、猫喘息と呼ばれています。原因としてはダニなどのアレルゲンやストレスなどの関与が疑わしいと考えられています。喘息発作は夜中から明け方に起きることが多く、またアレルギーが関与している場合は季節性が現れることもあります。アレルゲンが関与している場合は、それを排除することによって症状が改善します。原因の除去が難しい場合や原因が特定されない場合には、気管支拡張薬やステロイド剤を用いて症状を管理します。
犬の呼吸器感染症
ケンネルコフあるいは犬伝染性気管気管支炎などと呼ばれていた感染症です。近年では、多くの病原体の混合感染であるという病態が明らかになってきたため、犬の呼吸器感染症という名称が用いられるようになってきました。犬パラインフルエンザウイルス、犬アデノウイルス2型、気管支敗血症菌などに加えて、細菌やマイコプラズマなどの混合感染によって引き起こされます。多頭飼育での発症が多く、発症した犬との接触によって感染します。発作性の咳が主な症状ですが、重症になると鼻汁や元気食欲の低下なども見られます。罹患してしまった場合、ネブライザー(吸入器)での治療や抗菌薬を用いた治療を行います。犬の呼吸器感染症の主な原因ウイルスはワクチン接種によって発症時の症状を軽減することが可能です。
病気のはなし