歯科
3歳齢以上の犬・猫の約80%は歯周病を持っているといわれています。
口腔内疾患の症状は、口の中からの出血、口を痛そうにしているなどの局所の問題から、
全身状態に影響を及ぼす病態をたどる疾患のものまで様々です。
診察、検査の結果から適切な診断を下し、それに応じた治療を行う事が必要です。
口腔内疾患の診察、検査、代表的な疾患の治療についてお伝えします。
症状
犬や猫の歯は人の歯と同じ構造ですが、唾液がアルカリ性であるため、歯垢が歯石になりやすい(石灰化)といわれています。
歯石ができてしまうと歯肉炎から歯周病へと歯周組織の炎症が進み、口腔疾患に至るだけでなく、血液を介して全身にも悪影響を及ぼします。
ホームケア、定期健診で予防に努めるとともに、こんな症状に気づいたらすぐに受診してください。
- 口が臭う
- 歯が汚くなってきた
- 歯茎が腫れている、出血する
- 食べ方、嚙み方が変わった
- ヨダレを垂らすようになった
- 口を気にするような仕草を見せる
- 歯が折れた
- 口や歯に触れるのを嫌がる
- 眼の下や顎が腫れてきた
- 口の中にできものがある
診察の流れ
問診・身体検査
食事内容や食べ方の変化、涎の量や口を気にするしぐさなどの口腔内の違和感による行動以外にも、くしゃみ、鼻汁や鼻出血の有無など様子や、顔の左右対称性、口唇や周囲リンパ節の腫れ、口腔内粘膜・歯肉の色調や腫れ、咬合状態、歯式(歯数)、歯列、歯の形態などを確認します。
検 査
血液検査
腎臓病などの代謝性疾患や、猫白血病ウイルス感染症、猫免疫不全ウイルス感染症などの基礎疾患の有無を確認します。
レントゲン検査
多くの口腔疾患は身体検査では把握できない歯内(歯髄)や下顎内(歯根や歯槽骨)に問題を抱えています。
そのため身体検査だけでは口腔疾患の診断や治療方針を誤ってしまう可能性があります。
よくある歯周病にしても、レントゲン検査で歯の根尖部、歯髄腔、歯槽骨の状態を確認することで、根管治療などの歯を残す治療が可能なのか、抜歯処置が必要なのかを見極めることができます。

歯科用レントゲン装置

麻酔下のレントゲン検査

レントゲン画像
菌培養・薬剤感受性試験
根尖膿瘍などの化膿性の病変から検体を採取し、培養し感受性試験を行うことで、どの抗生物質が有効であるかを判定します。
病理組織検査
腫瘤性病変の場合その一部、または全部を切除し、病理組織検査を行うことで、腫瘍性病変なのか炎症性病変なのかを判定します。
治療
スケーリング
全身麻酔のもと、超音波スケーラーを用いて歯垢と歯石を除去します。歯の表面だけで無く、歯周ポケットに隠れている根元の方までクリーニングを行うことで、炎症の原因となっている細菌叢を取り除きます。
代表的な歯の疾患
歯周病(歯肉炎)
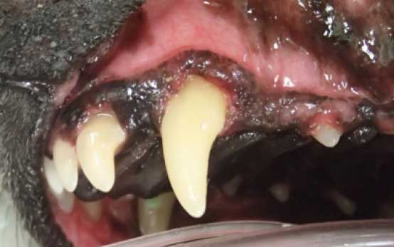
歯周病は歯の表面に歯垢・歯石が付着した結果、歯垢中の細菌が原因で歯周組織が炎症を起こして破壊されてしまう病気です。歯肉炎は歯周病の初期に発症する状態で、歯肉に炎症が起こり、発赤や腫脹が見られます。症状が進行すると歯肉から出血を起こしやすくなります。歯肉炎の段階で治療を開始、原因を除去すれば元の状態に回復できます。
歯科処置前の所見
- 重度の歯垢・歯石の付着
- 動揺なし
- 歯肉の腫脹あり
- 歯周ポケット浅い、歯肉の退縮あり
歯科処置後
- スケーリング
- ルートプレーニング
- キュレッタージ
- ポリッシング
歯周病(歯周炎)
歯周炎歯肉炎を放置すると、歯肉溝の細菌が増殖し、歯肉と歯の結合性がはずれ、炎症が更に深い歯周組織に波及していきます。そして歯槽骨も吸収されはじめ、歯周ポケットとよばれる深い溝が形成されます。歯周ポケットが深くなるほどポケット内に歯垢や歯石が沈着するようになり、炎症はさらに深いところへ進む悪循環が生まれ、やがて歯槽骨は歯を保持できなくなり、歯は動揺して脱落してしまいます。
乳歯遺残
犬や猫などの乳歯から永久歯に生えかわる二生歯性の動物では乳歯と永久歯の交換時期を過ぎても乳歯が遺残することがあります。6~7ヶ月齢で永久歯の萌出は完了しますが、その後も乳歯が遺残する場合は不正咬合や歯周病の原因となることが多いため、永久歯が存在している場合は抜歯を行います。また口腔内のレントゲン検査により後継歯である永久歯を確認してから抜歯が適応か確認する場合があります。
外歯瘻
歯周炎が歯の根元(根尖)の周囲にまで及ぶと、炎症により根尖周囲の骨が溶けて瘻管(トンネル)が作られ膿がたまり、目の下が腫れて見える状態になります。さらに進むと皮膚まで穴が開き、外歯瘻と呼ばれる状態となります。治療には、抗生剤の投与やレントゲン検査をして原因となる歯を抜く必要があります。
口鼻瘻管
上顎の犬歯や切歯、前臼歯の根尖で炎症が進んだ結果、上顎の骨が溶けてしまい口腔内と鼻腔が通じてしまう状態です。口腔と鼻腔を隔てる骨は非常に薄く、骨が溶けると簡単に穴が開いてしまいます。頻繁なくしゃみや鼻水、鼻血などといった鼻炎に似た症状が見られます。診断には、他のくしゃみや鼻水の原因となる疾患との鑑別のため、レントゲン検査が必要になり、場合によっては麻酔下での歯科レントゲンが必要となります。治療は、抗生剤の投与と原因となる歯の抜歯を行い、縫合します。
猫の歯肉口内炎
猫では、歯肉口内炎により口に痛みが出てしまい、食欲不振や口の違和感、臭いよだれの原因となります。歯肉口内炎の原因ははっきりとわかっていませんが、猫免疫不全ウイルスや猫白血病ウイルス、猫カリシウイルスの感染や歯肉炎との関連などが考えられます。治療には抗生物質やステロイド、インターフェロンなどの薬が使われますが、効果がない場合、全臼歯抜歯や全顎抜歯などといった歯を抜く処置を行うこともあります。