泌尿器科
泌尿器とは、腎臓や膀胱など、尿の生成や老廃物の排出(排泄)に関わる臓器です。
泌尿器の疾患は、ダメージを受けた臓器によって症状が様々です。
たとえば、腎機能が低下した場合には、多飲多尿、体重減少、毛づやの悪化、
脱水や嘔吐などがみられます。膀胱に細菌が感染または結石ができた場合には、
頻尿、血尿、排尿困難などの症状がみられることがあります。
犬も猫も高齢になると泌尿器科の病気にかかりやすくなり、 特に猫は慢性腎臓病や尿管尿石などに注意が必要です。
症状
無症状や軽度なものから緊急入院が必要となるような突発的で重度なものまで、泌尿器疾患には様々な症状があります。下記のサインが見られたら、受診することをおすすめします。
  • 毛づやが悪くなった
  • 体重が減ってきた
  • 多飲多尿、頻尿
  • 血尿(おしっこの色が赤っぽい)
  • おしっこが出づらい、排尿時に痛がる
  • お尻まわりをよく舐めている
  • お腹をさわると嫌がる
  • 脱水症状
  • 食欲低下、元気消失
  • 嘔吐
  • 貧血、歯茎の色が白っぽい
  • 猫砂やシーツがキラキラして見える
診察の流れ
問診・身体検査
排尿の様子、尿の色、被毛の状態や脱水の有無など全身状態を確認します。
腹部の触診では、腎臓や膀胱の大きさや形の異常が確認できます。
検 査
血液検査
血液一般検査
血液中の尿素窒素(BUN)、クレアチニン(Cre)値をはじめ、カルシウムやリン、ナトリウムやクロールといったイオンバランスの変化などを確認します。
SDMA
新しい腎機能マーカーであり、クレアチニンや尿比重などとともに総合的に評価することでより正確な腎臓病の診断や治療選択の一助となります。
また、クレアチニンは腎機能が75%失われるまで上昇しないのに対し、SDMAは腎機能が平均40%失われた時点で上昇します。このため、従来の腎機能マーカーと比較しネコちゃんでは平均17 ヶ月、ワンちゃんでは平均9.5ヶ月早く腎臓病を発見できる可能性があることがわかっています。
ホルモン測定
腎臓は赤血球の産生を促すエリスロポエチンというホルモンを産生するはたらきを持つため、腎臓の機能が低下するとこのホルモン産生が低下して貧血を呈することもあります。実際に、血液検査でエリスロポエチの血中濃度を測定することも可能です。この他、甲状腺ホルモンや副腎皮質ホルモンなども泌尿器の疾患に深くかかわるため、必要に応じて全身のスクリーニングを含めた総合的な検査を行います。
血液ガス
腎臓は血液中のpH バランス(酸塩基平衡)を調節するはたらきを担うため、腎不全やファンコーニ症候群など腎臓の疾患によりpHバランスの異常が生じることがあります。当院では血液ガスの院内測定が可能であり、迅速な診断と治療に役立てています。
尿検査
尿試験紙・沈渣(顕微鏡)検査
腎機能が低下すると、尿比重の低下や尿中へのタンパク質の漏出が起こります。また、膀胱結石の成因のひとつとして尿中pHの変化が挙げられます。こうした変化を尿試験紙により検出します。さらに、尿を顕微鏡で確認することで、尿中の様々な成分(細菌、結晶、円柱、炎症細胞や腫瘍細胞など)を検出することが可能です。
結晶
円柱
細胞
尿比重
尿試験紙による検査だけでなく、尿比重計を使用して測定を行うことで実数での測定が可能となります。また、従来より使用されているヒト用の比重計では、尿中成分の違いにより測定値に誤差が生じることがわかっています。このため、当院ではより正確な測定のためワンちゃんネコちゃん専用の尿比重計を使用しています。
UPC(尿蛋白/ クレアチニン比)
慢性腎疾患において様々な程度の尿蛋白が検出されることが知られています。また尿蛋白が進行性の腎障害を引き起こすことがわかっており、予後の指標や治療対象として蛋白尿の重要性が示されています。国際獣医腎臓病研究グループ(IRIS)における慢性腎臓病のステージ分類においてもUPC による尿蛋白の評価が推奨されています。当院ではUPC の院内測定が可能であり、必要に応じ尿蛋白のより正確な評価を行い治療や治療の効果判定を行います。
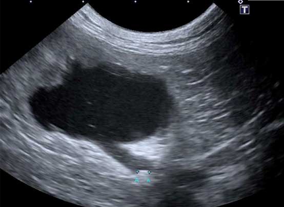
レントゲン検査
腎臓の大きさ、形態や結石を確認することができます。また、必要に応じて造影剤を使用することでさらに腎臓の詳細な評価が可能です。
造影方法は静脈性と逆行性の2種類があります。静脈性尿路造影は、静脈から造影剤を投与して造影剤の尿中への排泄を経時的に確認する方法で、腎臓や尿管の構造の評価や尿生成過程から腎機能の評価を行うことが可能です。逆行性尿路造影は、ペニスや膣など陰部から造影剤を投与する方法で、奇形や腫瘤といった形態上の異常や膀胱から尿道にかけての尿路の狭窄や断裂・破裂の有無を評価することが可能です。
単純レントゲン/ 膀胱結石および左腎結石を認める
静脈性尿路造影/ 右腎の排泄性低下を認める
当院ではCアーム(X線撮影装置)を使用することにより、尿排泄の様子や造影剤の流れなど動的な評価も可能です。
逆行性尿路造影/ 前立腺尿道の狭窄を認める
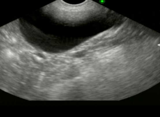
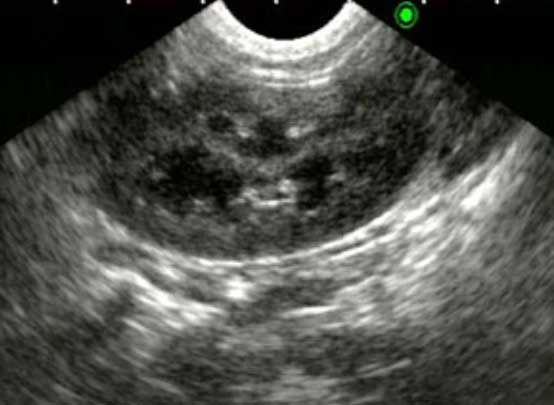
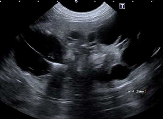
超音波検査
腎臓や膀胱の内部構造を確認します。腎臓においては形態や構造の変化、血流の評価を、膀胱においては壁の厚さや不整、内部の結石や血餅などの評価を行います。その他にも、尿管や尿道、雌では子宮や卵巣、雄は前立腺の評価にも有用です。
超音波腎臓
超音波膀胱
CT検査
説明が入ります
膀胱鏡検査
当院では膀胱結石の手術の際、粘膜病変の確認や微小な結石の確認のため膀胱鏡による膀胱内の観察を行っています。また、膀胱鏡の使用により、従来よりも小さな切開創からの結石摘出が可能となり、動物たちへの負担を 軽減することが可能です。
血圧検査
腎機能が低下すると、腎血流量の低下に対する代償として高血圧が認められることがあります。高血圧は腎臓にある糸球体という構造を障害し、さらなる腎機能の低下という悪循環を引き起こします。また、全身性の高血圧が持続した場合には、網膜などの毛細血管にもダメージが加わり、全身状態の悪化にもつながります。このため、腎疾患においては血圧を測定することにより、病態の把握と適切な治療を行う必要があります。
治療
当院では、泌尿器疾患に対し、抗生剤や点滴、食事療法などの内科的な治療はもちろん、必要に応じて外科的な処置を行う体制も万全に整えております。その子と飼い主様ご家族に合った治療法を選択していただくことが可能です。
代表的な泌尿器の疾患
慢性腎疾患
慢性腎疾患の発生率は年齢とともに増加し、特にネコちゃんにおいては10 歳齢以上になるとその発生率が急増します。腎臓は障害を受け破壊されると二度ともとには戻りません。このため、早期発見および病気の進行を遅らせるための早期対策が重要となります。問診や身体検査により慢性腎疾患が疑われた場合、血液検査および尿検査を行い病態の把握する他、必要に応じて基礎疾患の精査のため超音波などの画像検査も実施します。また、国際獣医腎臓病研究グループ(IRIS)における慢性腎臓病のステージ分類に従い、より適切な治療を選択するため、上述のSDMA、UPC(尿蛋白/クレアチニン比)、血圧測定が推奨されます。動物たちにも高齢化が進み、腎不全はワンちゃんネコちゃんとも死因の上位になっています。できることはたくさんあります。ずっと付き合っていく病気だからこそ、数ある検査や治療の中から、ワンちゃんネコちゃんやご家族に合ったものを選択し、よりハッピーでいられる治療ができるようじっくりと相談し、考えていけたらと思います。
膀胱結石
尿のpHや尿貯留時間が長いことにより結石が形成される可能性があります。結石が形成されると、尿路を損傷し、炎症を引き起こす恐れがあります。また、結石が尿管や尿道に詰まり、閉塞を起こしてしまう可能性もあります。結石の種類によっては抗生剤および食事療法で溶解可能なものもあるため、尿検査や画像検査を実施し結石に応じた治療を行います。結石の種類や大きさによっては外科治療が必要になることもあります。
膀胱炎
膀胱炎になると頻尿、血尿、排尿困難および排尿痛などの症状が見られます。原因として、細菌の感染、結石の 存在および特発性(原因不明)が挙げられ、尿検査や画像検査によりこれらの病態を把握した上、より適切な治 療を実施します。また、慢性腎疾患など他の泌尿器疾患や、副腎皮質機能亢進症や糖尿病といった全身性の疾患が膀胱炎の成因となっている場合もあるため、これらの基礎疾患が疑われた場合には精査、治療を行います。膀 胱炎は繰り返しやすい疾患であるため、病態を正確に把握し再発防止のための管理を実施することも重要となってきます。
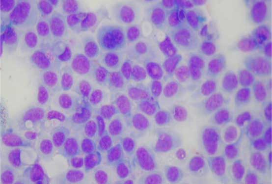
膀胱腫瘍
犬の悪性腫瘍の2%を占める腫瘍です。症状が血尿、頻尿、排尿困難など下部尿路疾患と似た症状であり、抗生剤の投与により一時的に症状が改善されることから、発見が遅れる可能性があります。しかし、尿道や尿管開口 部での発生が多く、転移しやすい、より悪性度の高い腫瘍であることが多いのが実情です。早期発見・早期治療 のため、泌尿器症状が長引く場合には超音波検査などの画像検査による精査をおすすめします。
膀胱腫瘍(移行上皮癌)
病気のはなし